Osteoarthritis of the knee joint (gonarthrosis)is a chronic progressive disease of the knee joints with damage, thinning and destruction of their cartilaginous part (articular surfaces of the femur and tibia), as well as damage to the subchondral bone.It has been shown through studies (arthroscopy and magnetic resonance imaging) that, in addition to damage to the articular cartilage, the menisci and synovial membrane are involved in the process.Gonarthrosis is one of the most common orthopedic pathologies.There are its synonyms: osteoarthritis (OA), deforming osteoarthritis.The disease is an important socioeconomic problem, since it is widespread and significantly worsens the quality of life of patients due to constant pain and, in addition, becomes a cause of great disability.

Until the mid-eighties of the last century, there was no unified definition of the disease.It was not until 1995 that the osteoarthritis committee of the American College of Rheumatology characterized the disease as the result of mechanical and biological factors that lead to an imbalance between the degradation and synthesis processes of the extracellular matrix of articular cartilage.As a result, disintegration and degeneration of fibers occur, cracks, osteosclerosis and compaction of the cortical layer of the subchondral bone form, osteophytes grow and subchondral cysts form.
Why does osteoarthritis of the knee joint occur?
Risk factors for osteoarthritis include:
- chronic traumatization (violation of physical activity, excess weight);
- endocrine, inflammatory, metabolic and ischemic diseases;
- the presence of congenital or acquired disorders of the relationships, shape or structural organization of the joint ends.
If you notice similar symptoms, see your doctor.Do not self-medicate, it is dangerous for your health!
Symptoms of osteoarthritis of the knee joints.
Osteoarthritis of the knee joint is characterized by:
- gradual start;
- mild pain in the joint when moving, especially when going up and down stairs;
- “tension”, stiffness and “initial pain” that occurs during the first steps and decreases or disappears if the patient “diverges”, after significant physical activity resumes.
- the appearance of the knee remains the same.Sometimes there is slight swelling or fluid buildup in the joint.At the same time, the knee increases in volume, swells, flattens, and movement restrictions and heaviness are felt.
Painful sensations
As the disease progresses, the pain becomes more intense and appears even with minor efforts and long walks.Located along the anterior-internal surface of the joint.Prolonged rest usually helps the pain go away.
Limited mobility of the knee joint and a characteristic crunch.
With osteoarthritis, the range of joint movements may decrease, a cracking sound may appear, and sharp pain appears when the leg is bent to the maximum.
knee deformity
The configuration of the joint changes, as if it were expanding.
synovitis
Synovitis of the knee joint is an inflammation of the lining of the inner cavity of the joint.The disease manifests itself as swelling of the knee, redness of the skin and limited mobility of the joint.With the development of osteoarthritis, synovitis occurs more frequently, lasts longer, and involves a large amount of fluid.
The last stage of gonarthrosis is characterized by the fact that the pain becomes almost constant, causing anxiety not only when walking, but also at rest, and even at night, when patients have to find a comfortable sleeping position.Movement is more limited: it is difficult to fully bend and straighten the leg.The joint becomes deformed and increases in volume.Valgus (X-shaped) or varus (O-shaped) deformity of the legs is often seen.Gait becomes unstable and sways.In severe cases, a cane or crutches are needed.

According to researchers, 76% of older people who complain of knee pain have x-rays showing gonarthrosis.According to statistics, women more often suffer from this disease, which is associated with hormonal changes after 45 years.
Pathogenesis of osteoarthritis of the knee joints.
There is primary and secondary osteoarthritis.
Primary osteoarthritis of the knee joint.
- Articular cartilage is constantly destroyed and renewed;Normally, these processes are balanced.With age, cartilage renewal slows down and destruction begins to predominate, which is called the degradation or degeneration process.The weight of a person plays an important role, since with a mass of 70 kg in 20 steps we load 700 kg on each leg (70 kg x 10 steps), and with a mass of 120 kg we already load 1200 kg on each leg.Therefore, weak cartilage wears down much faster;
- it is necessary to remember: the joint receives nutrients and recovers while moving;A sedentary lifestyle reduces metabolic processes and the necessary elements do not reach the cartilage;
- There is controversial evidence about the hereditary role in the onset of the disease.If the parents had osteoarthritis, the likelihood of it occurring in children increases;
- It occurs due to autoimmune synovial inflammation.
Secondary osteoarthritis of the knee joint.
- Injuries (fractures, meniscus tears and anterior cruciate ligament).Unfortunately, in anyone, regardless of age, these injuries cause excessive stress on the cartilage.A fracture of any part of the bones covered with cartilage is accompanied by the formation of an unevenness - a "step".In this area, when moving, abrasion occurs and osteoarthritis forms;
- rheumatoid arthritis, Koenig's disease (osteochondritis dissecans), consequences of purulent inflammation in the joint (gonitis), etc.;
- regional vascular disorders;
- Chronic exudative-proliferative processes and scar adhesives in the joint.

In osteoarthritis (osteoarthrosis), in addition to the progressive destruction of cartilage, the loss of its elasticity and shock-absorbing properties, the bones gradually become involved in the process.Under load, sharp edges (exostoses) appear, which are mistakenly considered "salt deposits";In classic osteoarthritis, salt deposition does not occur.As osteoarthritis progresses, it continues to "eat away" the cartilage.Then the bone is deformed, cysts form there, all joint structures are affected, and the leg bends.
In addition to the inner or outer part of the knee, osteoarthritis can also affect the surfaces between the kneecap and the intercondylar groove of the femur.This option is calledpatellofemoral osteoarthritis.
Its cause is usually a subluxation, fracture or lateralization of the patella.

Classification and stages of development of osteoarthritis of the knee joints.
Regardless of the cause, there are three stages of gonarthrosis, or deforming osteoarthritis of the knee joint.
Gonarthrosis, stage I
The first stage of the disease is characterized by primary changes in the hyaline cartilage.Bone structures are not affected.The blood supply in intraosseous vessels and capillaries is disturbed.The surface of the cartilage dries out and loses its smoothness.If the disease is accompanied by constant tense synovitis, a Baker's cyst (hernial protrusion of the joint capsule of the popliteal region) develops.After significant stress on the joint, a dull pain occurs.There may be slight swelling that disappears after rest.There is no deformation.
Gonarthrosis, stage II
In the second stage, the cartilage layer becomes much thinner and, in some places, disappears completely.Osteophytes appear along the edges of the articular surfaces.The qualitative and quantitative characteristics of the synovial fluid of the joint change: it becomes thicker and more viscous, which leads to a deterioration of its nutritional and lubricating properties.The pain is longer and more intense, and a crunching sound usually appears when moving.Mild or moderate restriction of movement and slight deformation of the joint occurs.Taking pain relievers helps relieve pain.
Gonarthrosis, stage III
Lack of cartilage in most affected areas, severe sclerosis (hardening) of the bone, many osteophytes, and acute narrowing or absence of the joint space.The pain is almost constant, walking is altered.Mobility is very limited and deformation of the joints is noticeable.NSAIDs, physical therapy and other standard methods of treating knee osteoarthritis are ineffective.
Types of gonarthrosis
Depending on the number of affected joints, unilateral and bilateral gonarthroses are distinguished.
Complications of osteoarthritis of the knee joints.
The most common complication of stages II and III is tendovaginitis of the adductor muscle group of the thigh.This is manifested by pain on the inner surface of the joint, which intensifies with movement.The cause is imbalance and muscle deformation.With a prolonged decrease in range of motion, a contracture develops.In addition, synovitis often occurs.
Consequences of advanced gonarthrosis
Gonarthrosis affects the entire musculoskeletal system, altering the biomechanics of the spine and other large joints of the lower extremities.This can lead to herniated discs and arthritis of other joints.The second knee joint is overloaded (if the disease is unilateral), since the patient forgives the sore leg and transfers the weight to the other, healthy one.
Diagnosis of osteoarthritis of the knee joints.
Instrumental diagnosis of osteoarthritis of the knee joint.
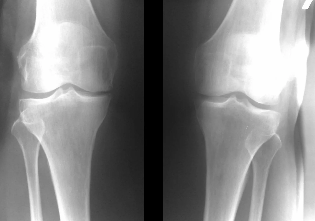
In the vast majority of cases, an examination and x-ray of the knee joint in two views (direct and lateral) are sufficient.Clinical data and imaging help determine the stage of the disease.

In the early stages of the disease, with minor changes in bone tissue, X-ray examination is not as valuable.At this stage, gonarthrosis can be diagnosed through arthroscopy.The precision of the method is very high;only its invasive nature and price can stop it.
Ultrasound does not allow clear visualization of changes in articular cartilage and intra-articular structures.With MRI, changes in the bone, cartilage and soft tissue structures of the joint, as well as in the subchondral bone, can be detected with an accuracy of 85%.Scintigraphy can be used to evaluate the metabolic activity of periarticular bone tissue.
Laboratory diagnosis of osteoarthritis of the knee joint.
An increased content of phosphorus and calcium in dehydrated synovial fluid is evidence of destruction of the osteochondral tissue of the joint and accumulation of degradation products.Blood is also examined: general analysis and erythrocyte sedimentation rate (ESR);determine the level of fibrinogen, urea and other biochemical parameters of blood and urine.
Is it possible to completely cure deforming osteoarthritis of the knee joint?
Gonarthrosis can be completely cured only at the earliest stage of the disease.
Which doctor treats deforming osteoarthritis of the knee joint?
A traumatologist-orthopedist or rheumatologist makes a diagnosis and prescribes treatment.
Treatment of osteoarthritis of the knee joints.
conservative — anti-inflammatory medications, analgesics, muscle relaxants, vascular, chondroprotectors, compresses, kinesiotaping, physiotherapy, physiotherapy, orthoses.
Minimally invasive- paraarticular blocks (novocaine + medication relieves pain and inflammation), injection of artificial lubricant into the joint itself, plasma lifting.
Surgical — arthroscopy (a low-traumatic method to treat intra-articular pathologies and eliminate damaged structures), endoprostheses.
Pharmacological treatment (medicines for the treatment of osteoarthritis of the knee joint)
Conservative methods are most effective at the initial stage of the disease.They help reduce pain and temporarily slow cartilage destruction.In stage II, more effective methods are needed.The introduction of hyaluronic acid preparations into the joint cavity is used to reduce friction and trauma to cartilage.There is no clear evidence of cartilage restoration, but it is good for lubricating surfaces.“PRP therapy” (plasmolifting) is the injection of platelet-rich plasma into the knee joint, which is obtained from the patient's own blood by centrifugation.Nourishes cartilage and promotes its restoration, since autoplasma platelets contain numerous growth factors and cytokines that promote the regeneration of damaged tissue.
Surgical treatment and endoprosthesis.
Stent replacement is a common and effective surgical method for the treatment of severe gonarthrosis, maintaining limb mobility and the ability to lead a full life afterwards.It is a high-tech operation that lasts approximately an hour and a half.In the postoperative period, prolonged rehabilitation and development of the joint is necessary.After 25 to 30 years, when the artificial joint wears out, it needs to be replaced again.

Physiotherapy and kinesitherapy.
Physiotherapy and kinesitherapy methods for the treatment of osteoarthritis of the knee joint are ineffective.
Diet therapy
Only one diet is needed to maintain a normal weight;There are no restrictions on the consumption of certain foods for gonarthrosis.
Does the block help with gonarthrosis?
For osteoarthritis of the knee joint, a paraarticular block is used - an injection of the drug into the soft tissue around the joint.During the procedure, the area of inflammation and pain near the joint is determined, the skin is treated with alcohol, and hydrocortisone with an anesthetic is injected into this area.
Therapeutic exercises for osteoarthritis.
Therapeutic exercises are useful both for patients suffering from gonarthrosis and for the prevention of this disease.Effective exercises:
- full flexion and extension of the leg, lying on back;
- Raising a straight leg while lying on your back.
Forecast.Prevention
You should understand that if osteoarthritis begins to develop, it must be treated immediately.If you are at risk of suffering from this disease, you can delay its appearance, for this it is recommended:
- reduce stress on the knee joint;
- swimming - water relieves stress;
- massage the muscles of the lower leg and thigh yourself;
- avoid hypothermia and overwork;
- maintain a normal weight;
- stop smoking and drinking alcohol;
- women wear comfortable low-heeled shoes;
- do physiotherapy
Before starting therapeutic exercises, you should definitely consult your doctor.The exercises are performed at a slow pace.If pain or discomfort occurs during gymnastics, the exercises should be stopped.
It is necessary to use only effective drugs.Rubbing, compresses and other folk methods are ineffective;They do not act on the cause of the disease, they only help to distract attention from the pain.Avoid injuries and overloads: jumping, carrying heavy objects, standing for a long time or sitting in an uncomfortable position.This accelerates the progression of the disease.
It is also necessary to quickly diagnose and treat rheumatoid arthritis, gout, and systemic diseases.
What factors influence the long-term prognosis of knee osteoarthritis?
The prognosis depends on the stage at which the patient went to the doctor and the correct therapy.The sooner you start proper treatment, the better your chances of avoiding surgery.






















